לפי מחקר חדש, התלקחויות גאוט אכן נפוצות יותר בשעות הלילה,...
יש לכם כאב בלתי מוסבר בכף הרגל? ייתכן שזהו דורבן ברגל, מחלה...
מחקר: ילדים שטופלו בסטרואידים נמוכים בחצי ס"מ בממוצע...
מחקר חדש: אסתמה עיקשת בילדות קשורה לסיכון מוגבר להתפתחות...
עדנה שלום. 1. התרופה דרמובט קרם/משחה מיועדת לטיפול מקומי בדלקות וגרד עור המגיבים רק לקורטיקוסטרואידים מאוד פעילים. התרופה דרמקומבין קרם/משחה מיועדת לטיפול בדלקות עור הנגרמות מפטריות או מחיידקים. 2. שתי התרופות מכילות קורטיקוסטרואידים. דרמובט מכילה את הקורטיקוסטרואיד CLOBETASOL שהוא סטרואיד מהסוג הפעיל ביותר. דרמקובין היא תרופה משולבת המכילה את הסטרואיד TRIAMCINOLONE שנחשב בינוני במידת הפעילות שלו, וכן רכיבים אנטי-פטרייתיים ואנטי-בקטריאליים. כיוון שדרמובט מכילה סטרואידים כה פעילים, השימוש בה, במיוחד שימוש ממושך, מעלה את הסיכון לתופעת לוואי. יש לעשות בה שימוש רק לפי הוראות הרופא. באופן כללי, לכל הסטרואידים, יתכנו תופעות לוואי, בעיקר אם נעשה בהן שימוש רציף ממושך. 3. שתי התרופות מתאימות לטיפול בתסמיני ליכן-סקלרוזיס והבחירה ביניהן תעשה ע"י הרופא המטפל, לפי סוג התסמינים, חומרתם וסיבוכים נלווים. לדלקת עור חריפה יותר- דרמובט מתאימה יותר. לדלקת עור חריפה פחות אך המערבת זיהום משני פטרייתי או חיידקי- דרמקומבין מתאימה יותר. לבריאות.
שלום דוד אין כל בעיה בשילוב זיילט עם ויגמוקס על פי הנחיות הרופא המטפל. רפואה שלמה!
Diprospan הינה תמיסה להזרקה המכילה 2 נגזרות שונות של הסטרואידBetamethasone. כבכל טיפול תרופתי - בנוסף לפעילות הרצויה של התרופה בזמן השימוש בה עלולות להופיע תופעות לוואי. בין תופעות הלוואי הידועות של סטרואידים: פני ירח, עלייה בתיאבון, תופעות עוריות (כפי שתיארת), תופעות לוואי במערכת העיכול, תופעות לוואי מטבוליות, השמנה (השפעה על פיזור שומן בגוף) ואגירת נוזלים. תתכנה גם תופעות לוואי במערכת שריר שלד ולכן במידה ואת חשה כאבים או חולשת שרירים, מומלץ להיוועץ ברופא לפני ביצוע פעילות גופנית שאינה מתונה. לרשימת תופעות לוואי המורחבת, יש לעיין בעלון התכשיר. חשוב לזכור כי התגובה שונה ממטופל למטופל ותלוית מינון ומשך טיפול, ולכן אל תבהלי למקרא כל תופעות הלוואי, ייתכן ולא תחושי באף אחת מהן. קורטיקוסטרואידים מפחיתים תגובה דלקתית, יכולים למסך תסמיני זיהום ולדכא את מערכת החיסון מערכת החיסון על מנת למזער את תופעות הלוואי מהטיפול בסטרואידים יש לטפל במנה הנמוכה ביותר האפשרית לתקופה הקצרה ביותר המשיגות את מטרות הטיפול. משך הטיפול נקבע על ידי הרופא המטפל. ככלל- טיפול תרופתי ניתן כשהתועלת מנטילתו עולה על הסיכון הגלום בשימוש בו. יש ליידע את הרופא על כל תופעת לוואי בלתי צפויה ולהיוועץ עמו לגבי משך הטיפול הנדרש.
לפי מחקר חדש, התלקחויות גאוט אכן נפוצות יותר בשעות הלילה,...
יש לכם כאב בלתי מוסבר בכף הרגל? ייתכן שזהו דורבן ברגל, מחלה...
מחקר: ילדים שטופלו בסטרואידים נמוכים בחצי ס"מ בממוצע...
מחקר חדש: אסתמה עיקשת בילדות קשורה לסיכון מוגבר להתפתחות...
מחקר: אקזמה בעור תורמת לסיכון המוגבר לשברים בשל דלקת כרונית...
מומחה לטיפול באסתמה ואלרגיה: "אנשים שסובלים מאסתמה שנגרמת...
חפיפה, מריחה או אולי דווקא טיפול באמצעות קרינת עור? כל...
שימוש מקביל באספירין ו-NSAIDs מעצים את הסיכון לדימומים...
מדריך בדיקות רפואיות: בדיקת צפיפות העצם משמשת לאבחון...
לא ברור לחלוטין מה גורם להופעת אפטות, פצעים פתוחים קטנים...
אוסטיאופורוזיס היא מחלה שבה פעילות תאים הורסי עצם גוברת על...
מערכת לבדיקת גידולים שפירים, הנחיות לשימוש בתרופות נגד...
בפתח השנה החדשה, גם סגר שני עומד להתחיל וזאת בעקבות העלייה...
מהן תרופות נוגדות דלקת שאינן סטרואידיות? איזה תכשירים...
כפות הידיים הן החוש החמישי של האדם. מחלה או כאב המגבילים את...
גלולות למניעת הריון מעניקות הגנה מעולה, אבל חשוב לזכור מספר...
גדילה, צמיחה, שיכוך כאבים, מצב רוח רע או טוב, התרוממות רוח...
אוסטאופורוזיס, ירידה בצפיפות העצם, עלולה לפגוע בתפקוד...
ממה סובלים 50 מיליון איש מדי שנה? מהי הסיבה השניה בשכיחותה...
סובלים מהתקרחות אזורית? אלופציה ארטה היא מחלת עור...
דוקטורס בעקבות האולימפיאדה באתונה: על המצב החדש בשוק הסמים...
מדוע דלקת אוזניים כה שכיחה בילדים? מהי דלקת האוזן התיכונה...
עדנה שלום. 1. התרופה דרמובט קרם/משחה מיועדת לטיפול מקומי בדלקות וגרד עור המגיבים רק לקורטיקוסטרואידים מאוד פעילים. התרופה דרמקומבין קרם/משחה מיועדת לטיפול בדלקות עור הנגרמות מפטריות או מחיידקים. 2. שתי התרופות מכילות קורטיקוסטרואידים. דרמובט מכילה את הקורטיקוסטרואיד CLOBETASOL שהוא סטרואיד מהסוג הפעיל ביותר. דרמקובין היא תרופה משולבת המכילה את הסטרואיד TRIAMCINOLONE שנחשב בינוני במידת הפעילות שלו, וכן רכיבים אנטי-פטרייתיים ואנטי-בקטריאליים. כיוון שדרמובט מכילה סטרואידים כה פעילים, השימוש בה, במיוחד שימוש ממושך, מעלה את הסיכון לתופעת לוואי. יש לעשות בה שימוש רק לפי הוראות הרופא. באופן כללי, לכל הסטרואידים, יתכנו תופעות לוואי, בעיקר אם נעשה בהן שימוש רציף ממושך. 3. שתי התרופות מתאימות לטיפול בתסמיני ליכן-סקלרוזיס והבחירה ביניהן תעשה ע"י הרופא המטפל, לפי סוג התסמינים, חומרתם וסיבוכים נלווים. לדלקת עור חריפה יותר- דרמובט מתאימה יותר. לדלקת עור חריפה פחות אך המערבת זיהום משני פטרייתי או חיידקי- דרמקומבין מתאימה יותר. לבריאות.
שלום דוד אין כל בעיה בשילוב זיילט עם ויגמוקס על פי הנחיות הרופא המטפל. רפואה שלמה!
Diprospan הינה תמיסה להזרקה המכילה 2 נגזרות שונות של הסטרואידBetamethasone. כבכל טיפול תרופתי - בנוסף לפעילות הרצויה של התרופה בזמן השימוש בה עלולות להופיע תופעות לוואי. בין תופעות הלוואי הידועות של סטרואידים: פני ירח, עלייה בתיאבון, תופעות עוריות (כפי שתיארת), תופעות לוואי במערכת העיכול, תופעות לוואי מטבוליות, השמנה (השפעה על פיזור שומן בגוף) ואגירת נוזלים. תתכנה גם תופעות לוואי במערכת שריר שלד ולכן במידה ואת חשה כאבים או חולשת שרירים, מומלץ להיוועץ ברופא לפני ביצוע פעילות גופנית שאינה מתונה. לרשימת תופעות לוואי המורחבת, יש לעיין בעלון התכשיר. חשוב לזכור כי התגובה שונה ממטופל למטופל ותלוית מינון ומשך טיפול, ולכן אל תבהלי למקרא כל תופעות הלוואי, ייתכן ולא תחושי באף אחת מהן. קורטיקוסטרואידים מפחיתים תגובה דלקתית, יכולים למסך תסמיני זיהום ולדכא את מערכת החיסון מערכת החיסון על מנת למזער את תופעות הלוואי מהטיפול בסטרואידים יש לטפל במנה הנמוכה ביותר האפשרית לתקופה הקצרה ביותר המשיגות את מטרות הטיפול. משך הטיפול נקבע על ידי הרופא המטפל. ככלל- טיפול תרופתי ניתן כשהתועלת מנטילתו עולה על הסיכון הגלום בשימוש בו. יש ליידע את הרופא על כל תופעת לוואי בלתי צפויה ולהיוועץ עמו לגבי משך הטיפול הנדרש.
שימוש בתרופות בדגש על נוירולוגיות יכול בהחלט לגרום להפרעה מסוג זה. להמשך בירור ממליץ על בדיקה אנדוסקופית מדוקדקת וביצוע הדמיה כגון CT או MRI. בריאות פרופ' חיים גבריאל. מומחה אא"ג, מנתח ראש וצוואר. מנהל מחלקת אא"ג וניתוחי ראש וצוואר. מרכז רפואי אסף הרופא, מסונף לאוניברסיטת ת"א. טל 08-9779660 פקס 08-9779661 סניפי אסותא מרכזים רפואיים. https://sites.google.com/site/drgavrielhaim נייד לקביעת תור 053-9956570
חוסר ותמינים יכולים לגרום להרבה תופעות , לא מכיר קשר ישיר בין החוסר לבעיה בחוש הריח והטעם. לגבי המשאפים לא שותף ללדעתך שהןם מיועדים למקרים חלשים
ACTH נמוך יכול להיות אם בדקו אותו חד פעמי מטיפול לא נכון בדגימת הדם אם בבדיקה חוזרת ה ACTH נמוך האפשרויות הן: 1) רמת קורטיזול גבוהההמופרשת מגידול ביותרת הכיליה 2) מרמה גבוהה של טיפול בקורטיזול או קורטיקוסטרואידים 3) מנזק לבלוטת יותרת המוח בגלל חבלת ראש, בגלל ניתוח, בגלל גידול, בגלל הקרנה למוח
ניתן לשקול שימוש בצכשירים המכילים capsaicin בהצלחה פרופ' חיים גבריאל. מומחה אא"ג, מנתח ראש וצוואר. מנהל מחלקת אא"ג וניתוחי ראש וצוואר. מרכז רפואי אסף הרופא, מסונף לאוניברסיטת ת"א. טל 08-9779660 פקס 08-9779661 סניפי אסותא מרכזים רפואיים. https://sites.google.com/site/drgavrielhaim נייד לקביעת תור 053-9956570
שלום רב, Diprospan הינה תמיסה להזרקה המכילה 2 נגזרות שונות של הסטרואידBetamethasone. . כבכל טיפול תרופתי - בנוסף לפעילות הרצויה של התרופה בזמן השימוש בה עלולות להופיע תופעות לוואי . שיהוק הינה התכווצות לא רצונית של שריר הסרעפת ושרירים הבין צלעיים, המביאים לאספירציה מהירה של אויר וסגירה מהירה של בית הבליעה. קיימות סיבות מגוונות לשיהוקים בלתי נשלטים וביניהן סיבות מבניות, זיהומים, סיבות קרדיווסקולריות, גידולים מסוימים, מחלות שונות במערכת העיכול ועוד. שיהוקים יכולים להיות תופעת לוואי של תרופות כגון קורטיקוסטרואידים (בעיקר ידוע ל-dexamethasone, קיימים דיווחים גם לאחר הזרקת betamethasone). בפרסום שכלל 3 תיאורי מקרה אודות שיהוקים לאחר טיפול בתרופה betamethasone, השיהוקים נמשכו החל מיום ועד ל-10 ימים, בימים מסוימים חלפו מעצמם ובימים אחרים דרשו טיפול. בשניים מהמקרים השיהוקים חזרו לאחר הזרקה חוזרת. לפיכך במידה והשיהוקים אינם מפסיקים, לפנות לרופא לבירור, התאמת טיפול וכן ליידע את הרופא שרשם את התכשיר אודות תופעות לוואי אפשרית זו על מנת לקחת אותה בחשבון במקרה צורך ברישום חוזר של התרופה. בריאות שלמה.
שלום, ממליצה להמשיך כשבוע ימים מתום הפריחה.
ליאור שלום הטיפול בקורטיקוסטרואידים יכול לגרום לנשירת שיער. הרופאה אמרה שהבעיה תורשתית - אין אפשרות להילחם נגד תורשה. קיימים טיפולים שונים אשר עוצרים את הנשירה או משפרים את מראה השיער. לצורך כך, אנא פני לרופא עור מומחה בשיער. בהצלחה.
שלום, ממליצה על השלמת ביופסיות עור והשלמת בדיקת דם בשם רמת IGE . בהצלחה!
שלום רב, המון שאלות נכונות והדרך הרצינית להתייחס אליך היא להזמין אותך ליצור קשר ולהגיע ליעוץ במרפאה! בכל זאת, לא לוקחים אנטיביוטיקה אחרי הזרקה ! הפרדניזון בעצמו עלול לגרום לשטפי הדם. כאחות את יודעת שמשק הנוזלים בגוף מושפע מההורמונים לרבות קורטיקוסטרואידים ופרדניזון כמו גם החומצה ההיאלורונית שסופחת מים ולכן מוסיפה נפח בשבועיים הראשונים לאחר ההזרקה. ולכן יש השפעה הדדית בין השימוש בפרדניזון לתוצאת ההזרקות. אבל, חד פעמי 5 מ״ג לא ישנו הרבה. נקרוזה, דלקת וכו תופעות לוואי מאוד לא נעימות ומאוד נדירות. עד היום נתקלתי במקרה נקרוזה אחד ומעולם לא בזיהום מהזרקות חומרי מילוי. כדאי להיפגש כדי לדבר על מילוי לחיים ואפשרויות שונות, יתרונות, החלמה, סיבוכים אפשריים ודרכי התמודדות. בברכה, ד״ר ממלידר אבי 054-4435085
שלום רב, תוארו מקרים של פסיכוזיס בחולים שטופלו באיזוניאזיד ומיאבוטול, אמנם המקרים נדירים מאוד. המשאפים לא גורמים לפסיכוזיס.
התכשיר מכיל תרופה ממשפחת הקורטיקוסטרואידים בשם בקלומטאזון ומיועד למניעת התקפי אסטמה. צרידות ודלקת גרון הינן תופעות לוואי שכיחות של תכשירי קורטיקוסטרואידים בשאיפה ובינהם גם לתכשיר QVAR. המנגנון יכול להיות חולשה של השרירים באזור, גירוי מקומי או פטרת (למניעה תעזור שטיפת חלל הפה/לוע לאחר כל שימוש). לעיתים שינוי סוג המשאף למשל למשאף אבקה מפחית את שכיחות התופעה. תופעה זו חולפת לרב לאחר הפסקת השימוש בתכשיר. אם תופעת הלוואי בלתי נסבלת מבחינתךף יש לפנות לרופא להתאמת הטיפול.
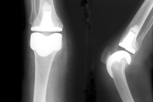
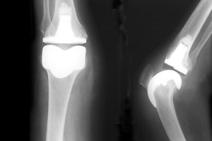
עמירה שלום רב, לפי מה שכתבת נשמע שיש שינויים שחיקתיים מתקדמים בברכים או בלועזית אוסטאוארטריטיס osteoarthritis או OA בקיצור. מבלי לבדוק אותך ולראות את הצילומים שלך קשה לרשום המלצה רפואית מדויקת. באופן כללי, הטיפול הניתוחי הסופי בOA הוא החלפת הברך. זה טיפול טוב אשר שינה את חייהם של מליוני אנשים בעולם. עם זאת לפני שמגיעים להחלפת הברך יש מקום לנסות מספר טיפולים פשוטים יותר - למשל הזרקות של קורטיקוסטרואידים או חומצה היאלורונית, אפוסתרפיה וכמובן פיזיותרפיה. פעילות גופנית יכולה גם להועיל על מנת להוריד את הכאבים. אם השינויים קשים וברורים בצילום, לרוב אין צורך בMRI או CT על מנת להחליט על המשך הטיפול בכאבים בברך. אני מציע שתחזרי לאורטופד שלך ותחליטו על המשך טיפול. מרפאת הברך ברמב"ם עומדת לרשותך גם כן - לקביעת תור 1700505150 אשמח לענות לשאלות נוספות ד''ר איתמר בוצר רופא בכיר ביחידה לברך וארתרוסקופיות ברמב''ם לקביעת תור 1700505150 www.Botser.com
המשחה דרמקובין מכילה קורטיקוסטרואידים (להפחתת תסמיני דלקת), מרכיב אנטיפטרייתי ואנטיביוטיקה. התרופה מיועדת לטיפול בדלקות מסוימות הנגרמות מפטריות או חיידקים. יתכן שהרופאה ייחסה את הכתמים לזיהום. הנגעים עלולים להתכהות עם החשיפה לשמש. ולכן, חשוב מאוד להימנע מחשיפה לשמש /הגנה מקסימלית על העור עם מסנן קרינה. במידה ומדובר על כתמי עור בעקבות חשיפה לשמש (לא ברור האם האזור המדובר מתאים לכך) ניתן לטפל בתכשירים המכילים הידרוקינון, רטינואידים ועוד. אפשריות טיפוליות נוספות הן פילינג או לייזר. חשוב לזכור שלרב מדובר בטיפול ממושך וכי מניעה (הגנה מן השמש) היא הטיפול היעיל ביותר. מומלץ להיוועץ ברופא עור בנוגע לטיפול המתאים ביותר למצבך.
ככלל כל טיפול תרופתי עלול לגרום לתופעות לוואי בחלק מהמשתמשים. חשוב להדגיש כי לא כל המטופלים סובלים מכל תופעות הלוואי וכן כי לעיתים יש צורך מוצדק להמשיך טיפול אל עף התרחשות תופעת לוואי. תופעות הלוואי האפשריות לטיפול בציפרודקס עלולות להיות הפרעות קצב לב במיוחד במטופלים עם הפרעות אלקטרוליטריות, מחלת לב ברקע או שילוב תרופות העלולות גם הן לגרום להפרעות קצב, רגישות לאור (יש להימנע מחשיפה לשמש), פגיעה בגידים (סיכון עולה כאשר הטיפול משולב עם קורטיקוסטרואידים, במטופלים עם פגיעה כלייתית ובמטופלים במחלה ראומטית) וכן יש להזהר במטופלים הסובלים מאפילפסיה או מחלות נוירולוגיות שונות. רשימה מורחבת יותר של תופעות לוואי אפשריות ודרכי התמודדות עמן מופיעה בעלון לצרכן. מינון ומשך הטיפול האנטיביוטי נקבע ע"י רופא ותלוי במזהם (החיידק), סוג הזיהום וחומרתו. חלק מההתוויות למתן התכשיר ציפרודקס מחייבות טיפול ממושך של 4-6 שבועות. במתן טיפול תרופתי יש לשקול את התועלת הצפויה מהטיפול, מול הסיכון שבתופעות הלוואי כתלות במצב הרפואי, גורמי סיכון לתופעות הלוואי ותרופות נוספות הנלקחות במקביל. במידה והנך סובלת מתופעות לוואי במהלך הטיפול, ידעי את הרופא והיוועצי עמו בנוגע להמשך הטיפול.
ככלל כל טיפול תרופתי עלול לגרום לתופעות לוואי בחלק מהמשתמשים. חשוב להדגיש כי לא כל המטופלים סובלים מכל תופעות הלוואי וכן כי לעיתים יש צורך מוצדק להמשיך טיפול אל עף התרחשות תופעת לוואי. תופעות הלוואי האפשריות לטיפול בציפרודקס עלולות להיות הפרעות קצב לב במיוחד במטופלים עם הפרעות אלקטרוליטריות, מחלת לב ברקע או שילוב תרופות העלולות גם הן לגרום להפרעות קצב, רגישות לאור (יש להימנע מחשיפה לשמש), פגיעה בגידים (סיכון עולה כאשר הטיפול משולב עם קורטיקוסטרואידים, במטופלים עם פגיעה כלייתית ובמטופלים במחלה ראומטית) וכן יש להזהר במטופלים הסובלים מאפילפסיה או מחלות נוירולוגיות שונות. רשימה מורחבת יותר של תופעות לוואי אפשריות ודרכי התמודדות עמן מופיעה בעלון לצרכן. מינון ומשך הטיפול האנטיביוטי נקבע ע"י רופא ותלוי במזהם (החיידק), סוג הזיהום וחומרתו. חלק מההתוויות למתן התכשיר ציפרודקס מחייבות טיפול ממושך של 4-6 שבועות. במתן טיפול תרופתי יש לשקול את התועלת הצפויה מהטיפול, מול הסיכון שבתופעות הלוואי כתלות במצב הרפואי, גורמי סיכון לתופעות הלוואי ותרופות נוספות הנלקחות במקביל. במידה והנך סובלת מתופעות לוואי במהלך הטיפול, ידעי את הרופא והיוועצי עמו בנוגע להמשך הטיפול.
איתי שלום התרופות הללו לא אמורות לגרום לחרדה. שימוש ממושך במינונים גבוהים של משאפים המכילים סטרואידים עלול בעקרון לגרום לעודף קורטיזון בגוף, אך זה נדיר. יש דרך לבדוק את הציר אדרנל- היפופיזה, אתה יכול לפנות לאנדוקרינולוג. כל טוב
לא מכיר
שרית שלום רב. אין כל התנגשות. בנוסף, פורטיאו לא מכיל קורטיקוסטרואיד. רפואה שלמה
בד"כ שימוש במשאף אינו גורם לכבד שומני אך שימוש ממושך מאוד ובמינונים גבוהים יכול לגרום לתופעות לוואי ובניהם הפרעה במשק השומנים וכבד שומני ברוב המקרים הסיבה לכבד שומני טמונה בבעיות מטאבוליות כגון השמנת יתר, הפרעה בשומני הדם וסוכרת
בעיקרון השימוש בתכשירים המכילים סטרואידים אינו מומלץ לשטחים גדולים, לתקופות ארוכות ובכלל - אמור להיות מיועד למוקדים מצומצמים ועקשניים במיוחד עם רבדים עבים במיוחד ולפרקי זמן קצרים ככל האפשר. באשפוז לטיפול בפסוריאזיס השימוש בתכשירים המכילים קורטיקוסטרואידים אינו נהוג, אלא במקרים מיוחדים העונים לקריטריונים הללו. עיקר הטיפול האו או במאצעות משחת פיקס (תזקיק של זפת מפחם) או באמצעות משחת אנטרלין (חומר על בסיס צמחי שאין לו שום קשר לסטרואידים). ברשת מסתובבות השמצות בעניין השימוש בסטרואידים באשפוז - אין להן כל בסיס או הצדקה.
הדר שלום זו אינה מטרת הפורום אולם אנסה לענות בקצרה: השכיחות בעולם ובארץ נעה בין 16-20 ל 100 אלף יותר בנשים אין גורמי סיכון ידועים מדובר במחלה שסיבתה לא ברורה אולם קיימת נטייה משפחתית וגנטית לדוגמה בקרב האוכלוסיה השחורה בארה"ב הסיבוכים הקשים הם פגיעה עינית נוירולוגית ולבבית ברוב החולים נחוץ מעקב בלבד רק במידה ויש תסמינים אנו נוהגים לטפל הטיפול המקובל ביותר הוא סטרואידים קיימת לאחרונה אפשרות לטפל ב infliximab

.jpg?anchor=center&mode=crop&width=140&height=154&rnd=133169532580000000)
















.jpg?anchor=center&mode=crop&width=140&height=154&rnd=133614689250000000)

.jpg?anchor=center&mode=crop&width=140&height=154&rnd=132094746950000000)

