חיוך של מיליון דולר – אף אחד לא ינחש שאלו לא השיניים המקוריות שלכם
כולם רוצים חיוך לבן ועל שיניים מושלמות, אבל אף אחד לא מעוניין במראה הגרוטסקי של שיניים משונות ומלאכותיות למראה. אם גם אתם מחפשים את המראה הטבעי והיפה, כדאי לכם להגיע למרפאת פרפקשן באשדוד
מכירים את זה שאתם רואים מישהו מחייך, אבל משהו שם נראה מוזר? אולי השיניים לבנות מדי, גדולות מדי, אולי פשוט הן נראות כאילו הן שייכות למישהו אחר. בעידן שבו רפואת שיניים אסתטית הפכה למיינסטרים וכמעט כולם יכולים להשיג לעצמם חיוך יפה, אחת הבעיות הכי שכיחות היא דווקא זו שהכי בולטת: שיניים שנראות לא אמיתיות.
המראה המלאכותי נובע ממספר גורמים: ראשית, יש נטייה בקרב חלק מהמטפלים והמטופלים לבחור בגוון לבן מדי, שאינו מתאים באופן טבעי למבנה הפנים ולגוון העור של המטופל. שיניים טבעיות אינן בגוון לבן אחיד אלא בעלות מגוון דקויות של גוונים. שנית, בחלק מהמקרים מבנה השיניים עצמן - הגודל, הצורה והפרופורציות - אינו מותאם באופן אופטימלי לפנים. שיניים גדולות מדי או אחידות מדי בצורתן יוצרות מראה מלאכותי.
בנוסף, הטכניקה של ביצוע הטיפול משפיעה גם היא. למשל, בציפויי חרסינה (ונירים), אם אין תשומת לב מספקת לשקיפות החומר בקצוות ולמרקם פני השטח, התוצאה עלולה להיראות שטוחה ומלאכותית.
הגישה הנכונה היא לשאוף ל"שיפור טבעי" - כלומר, חיוך יפה ובריא שמשתלב בהרמוניה עם מבנה הפנים ומאפייני המטופל, ולא חיוך שמושך תשומת לב בשל הלובן הקיצוני או האחידות המלאכותית שלו. הבעיה היא שלא כל רופא שיניים יודע לעשות זאת או התמחה בכך. לכן, רגע לפני שאתם מוותרים על החלום לחייך בפה מלא, תנו לנו לספר לכם על מרפאת פרפקשן באשדוד – מרפאה חדשנית, מקצועית ומרשימה, שמצליחה לעשות את הבלתי אפשרי: להחזיר את החיוך לפנים בלי שאף אחד ינחש שמדובר בכלל בכתרים.
השקיפות שבדיוק צריכה להיות גם בשן, גם בטיפול
כאמור, אחת הבעיות הנפוצות היום בטיפולים של ציפויים וכתרים היא שמתקבל מראה אחיד מדי – בלוקים לבנים, מבריקים, אבל נטולי חיים. לא ככה נראות שיניים טבעיות. מהו הסוד של מרפאת פרפקשן? לא מדובר רק בטכנולוגיה המתקדמת או בצוות הרופאים המיומן (למרות שגם אלה בהחלט חלק מהתמונה), אלא בגישה אחרת לגמרי לאסתטיקה דנטלית. במרפאת פרפקשן עובדים לפי עיקרון פשוט אך גאוני: שן טבעית לא נראית כמו קיר לבן. יש לה שקיפות מסוימת, טקסטורה גלית עדינה, משחקי אור וצל. בקיצור, היא חיה, ולכן, כל כתר שמיוצר בפרפקשן מותאם אישית למטופל, לא רק מבחינת הצבע אלא גם ברמת השקיפות, הצורה והמרקם.

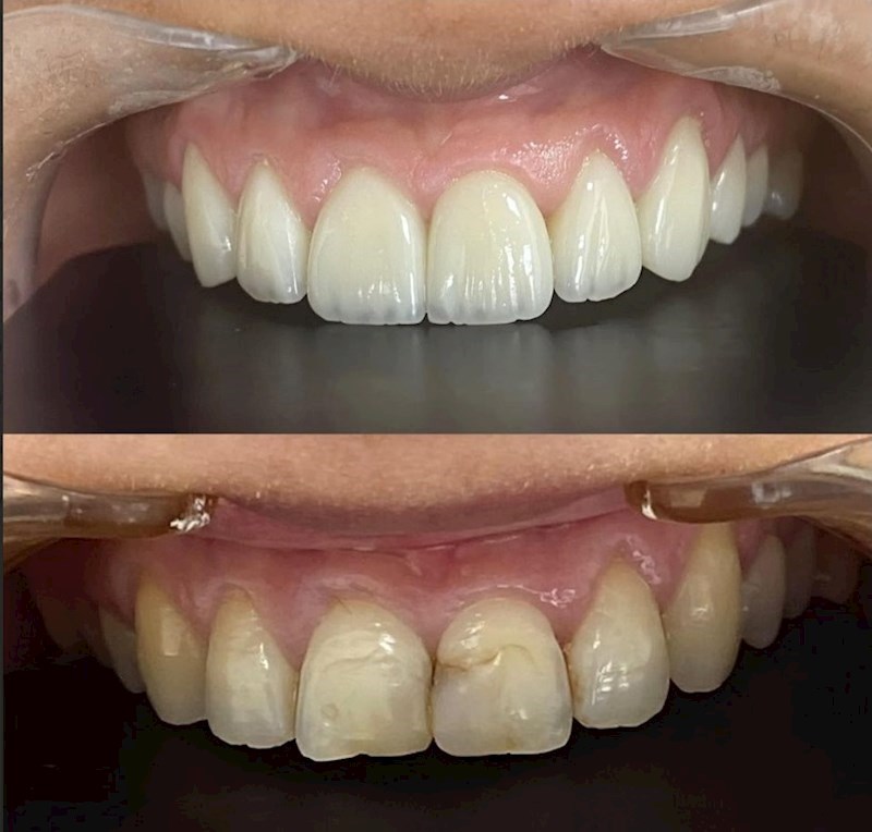
שיניים לפני (למטה) ואחרי הטיפול (למעלה). מראה טבעי בצבע, בגדול ובשקיפות. צילום: מרפאת פרפקשן
"המטרה שלנו היא שמי שיסתכל על החיוך שלך – לא ידע שהוא לא שלך מלידה", אומרת מנהלת המרפאה. "אנחנו לא רוצים ליצור חיוך שייראה מושלם מדי אלא חיוך שנראה טוב, חי, טבעי וכזה שמשתלב בפנים שלך כאילו תמיד היה שם".
אשדוד על מפת האסתטיקה ומעבר
למרות שמרפאת פרפקשן ממוקמת בלב אשדוד, היא מזמן חצתה גבולות גיאוגרפיים. לקוחות מגיעים אליה מכל רחבי הארץ כדי לקבל חיוך שהוא גם יפהפה וגם בלתי מורגש. הסיבה פשוטה: מדובר באחת המרפאות היחידות בארץ שבה יש יכולת לייצר כתרים שמדמים שן אמיתית עד לרמת הפרטים הקטנים ביותר. זה כולל גלים זעירים שמדמים את פני השטח של שן טבעית, שקיפות שמשחזרת את המשחק של האור בשן בריאה וכמובן דיוק שמבטיח התאמה מושלמת למבנה הפנים והפה של כל מטופל ומטופלת.
אבל זה לא רק עניין של טכניקה אלא גם עניין של עין. "לא מספיק להיות רופא טוב, צריך גם הבנה של אסתטיקה, של פרופורציות, של איזון", מסבירה אחד מרופאי השיניים הבכירים במרפאה. "בדיוק כמו שלא כל מאפרת היא אמנית, גם לא כל רופא שיניים יודע להחזיר למטופל את החיוך שנראה טבעי באמת".
ההתאמה לא תלויה רק בשן אלא גם מבנה הפנים
אחד הסודות של פרפקשן טמון בשילוב המופלא שבין טכנולוגיה לאסתטיקה. במרפאה עושים שימוש בטכנולוגיית תלת מימד מתקדמת לסריקה מלאה של הפנים. כן, לא רק השיניים נמדדות אלא כל מבנה הפנים, קווי המתאר, האורך והפרופורציות.
הרופאים סורקים את הפנים והחיוך של המטופל בטכניקה חדשנית, מצלמים מזוויות שונות ומנתחים את המידע הדיגיטלי כדי להתאים את הכתרים בצורה הכי מדויקת שיש – בגודל, באורך, ברוחב ובקו החיוך. המטרה: ליצור שיניים שנראות כאילו תמיד היו חלק מהפנים ולא תוספת מלאכותית שהודבקה מבחוץ. "הרבה פעמים הבעיה בטיפולים אסתטיים היא שהשיניים אולי נראות יפות בפני עצמן, אבל הן לא משתלבות נכון בפנים", מסבירים במרפאה. "אנחנו מסתכלים על התמונה הכוללת – איזה סוג חיוך יש לך, איך נראות השפתיים, מה המבנה של הלחיים והסנטר, ומכאן אנחנו בונים שיניים שמחמיאות ולא משתלטות".
לא רק יפה – גם נעים, אנושי ומרגיע
כמובן, טכנולוגיה מתקדמת היא דבר נפלא, אבל כשמדובר בטיפולי שיניים, לא פחות חשוב הוא היחס האישי. במרפאת פרפקשן מבינים שטיפול דנטלי, ובפרט כזה שמערב את החיוך שלך, הוא עניין רגיש ולכן שמים דגש עצום על חוויית המטופל. המרפאה מעוצבת באווירה מרגיעה, הצוות מקפיד על הסברים בגובה העיניים, והתהליכים מבוצעים בשלבים תוך ליווי אישי. זאת, כדי שהמטופל ירגיש בטוח, נינוח ושותף מלא לתהליך. "הרבה מהמטופלים שלנו מגיעים עם טראומות מטיפולי שיניים קודמים", מספרת אחת הסייעות במרפאה. "כאן הם מגלים שזה יכול להיראות ולהרגיש אחרת לגמרי – רגוע, נעים, ואפילו מרגש".
כתר זה לא מילה גסה
אם בעבר המילה "כתר" היתה מעלה קונוטציות של שיניים צהבהבות, מסורבלות או מ"פלסטיק", הרי שהיום, לפחות במרפאת פרפקשן, זה סיפור אחר לגמרי. כתר יכול להיות יפהפה, עדין, כמעט בלתי מורגש – כל עוד הוא נעשה נכון. וזה בדיוק מה שקורה כאן: כל שן שנבנית במעבדה הדיגיטלית של המרפאה היא יצירת אמנות קטנה, שמשתלבת בצורה מושלמת עם שאר השיניים, עד לרמה שבה גם חברים קרובים לא מצליחים להבין איפה נגמרת השן הטבעית ומתחיל הכתר.
בסופו של דבר, החיוך שלך הוא כרטיס הביקור שלך, והוא לא צריך להיראות כמו משהו ששלפו מקטלוג. בפרפקשן יודעים את זה, חיים את זה ונושמים את זה. התוצאה? חיוכים מושלמים שאף אחד לא יחשוד לרגע שהם לא אמיתיים.
(צילום ראשי: שאטרסטוק)