מהפך בחיוך: אחרי 17 שנה של סבל, המטופל חזר לחייך
אחרי שנים ארוכות של סבל עם תותבות לא נוחות ואיכות חיים ירודה, מטופל שלא האמין שיחזור לחייך עבר טיפול פורץ דרך במרפאת ד"ר רושדי יונס. גשרי זרקוניה מתקדמים ושיקום קבוע על גבי שתלים שדרגו את איכות חייו דרמטית. איך נראה הרגע שבו זכה לחיוך אמיתי? הנה הפרטים
חיים ללא שיניים במשך 17 שנה הם מציאות לא פשוטה, אבל עבור מ', בן 58 מהצפון זו היתה המציאות היומיומית. במשך כל השנים הללו הוא הסתובב עם תותבות שלא התאימו לו ולא היו נוחות ושיבשו את איכות החיים שלו. ''זה היה סיוט עבורו'', מספר ד''ר רושדי יונס. ''הוא לא יכול היה לאכול כמו שצריך, לא לחייך בלי להתבייש ולפעמים פשוט העדיף להישאר בבית".
מ' ניסה במשך השנים למצוא פתרון, אבל בכל מקום שאליו פנה נאמר לו שזה מסובך מדי או שהפתרון המוצע לא ענה על הצרכים שלו. התותבות היו כבדות ולא נוחות. המחשבה על חזרה למצב רגיל נראתה לו בלתי אפשרית.
המפגש ששינה את חייו של מ'
לפני כשנה, בעקבות המלצה מחבר, מ' פנה למרפאתו של ד"ר רושדי יונס, מומחה ברפואת שיניים ושיקום פה. ''בהתחלה הוא היה סקפטי. אחרי כל כך הרבה שנים של אכזבות, הוא התקשה להאמין שמשהו באמת יכול להשתנות'', מספר הרופא ומתאר כיצד מהשיחה הראשונה עם איתו מ' הרגיש בתקווה מחודשת: "הוא הקשיב לנו ובאמת רצה שנעזור לו – פתאום הוא הרגיש שהוא בידיים טובות".
תהליך מורכב עם תוצאות מדהימות
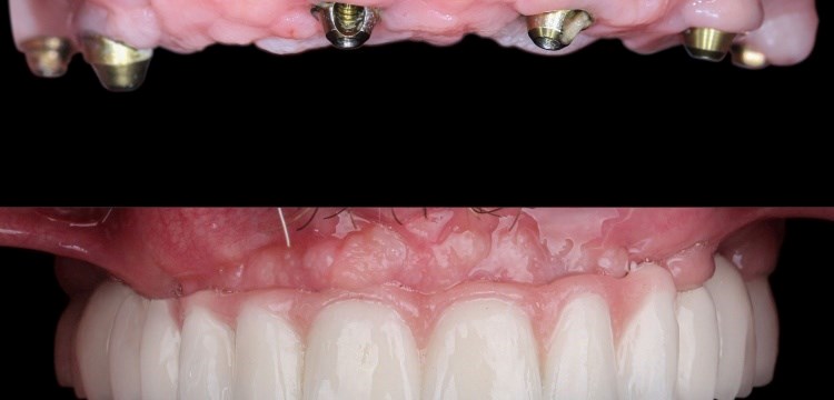
ד"ר רושדי יונס וצוותו תכננו עבור מ' שיקום מלא על גבי שתלים – שישה שתלים בלסת העליונה ושישה שתלים בלסת התחתונה. מדובר בתהליך מורכב שמחייב דיוק רב, אבל במרפאתו של ד"ר יונס הטיפול מתבצע עם טכנולוגיות מתקדמות ומיומנות גבוהה. "זה היה מרגש מאוד לראות איך התכנית נבנית בצורה מותאמת אישית עבור המטופל", הוא מספר ומוסיף כי הטיפול כלל התקנת גשרי זרקוניה איכותיים ששדרגו את איכות הלעיסה שלו לאין שיעור.

מ' עבר שיקום מלא על גבי שתלים – שישה שתלים בלסת העליונה ושישה שתלים בלסת התחתונה. אילוסטרציה: שאטרסטוק
מהפך באיכות החיים
כשהטיפול הסתיים והשתלים הותקנו בהצלחה, החיים של מ' השתנו מקצה לקצה. ''זו היתה הרגשה שאין לתאר עבורו – בזכות הטיפול הוא יכול לאכול כל מה שהוא רוצה, בלי לחשוב פעמיים. הוא מחייך בלי לחשוש ואפילו שמחת החיים שלו חזרה'', מעיד ד''ר יונס. לא מדובר רק באיכות הלעיסה ובנוחות היומיומית. עבור מ', מדובר בחזרה לחיים מלאים. ''אנשים רואים אותו היום ואומרים לו שהוא נראה צעיר יותר, בטוח יותר. הוא יכול ליהנות מכל רגע, ממש כאילו קיבל את החיים שלו בחזרה", מסכם הרופא. מ' לא רק מרוצה מהתוצאות, אלא גם מהיחס שקיבל במרפאה - היחס האישי, המקצועיות והדאגה לפרטים. זה מה שעשה עבורו את ההבדל.
הזדמנות לשינוי אמיתי
הסיפור של מ' הוא לא רק סיפור על טיפול שיניים מוצלח אלא על חזרה לשגרת חיים מלאה ומשמעותית. אם גם אתם מתמודדים עם בעיות דומות, מרפאת ד"ר רושדי יונס מזמינה אתכם לעשות את הצעד הראשון לעבר איכות חיים חדשה.
ד"ר רושדי יונס - מרפאת שיניים. צרו קשר לקביעת ייעוץ אישי ותנו לעצמכם את ההזדמנות ליהנות מטיפול איכותי ומחיוך מושלם. טל': 073-7793937. דוא"ל: [email protected]